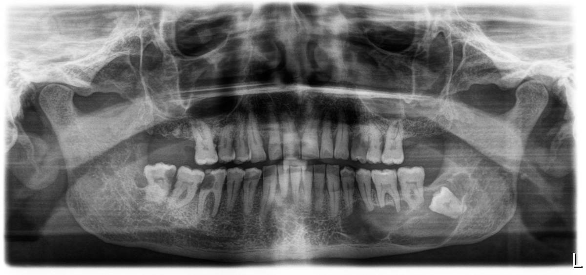
Caso di Cheratocisti in anestesia generale
Caso di Chirurgia Orale
Caso di Implantologia in 12 ore
Prima
Dopo
Prima
Dopo
Faccette dentali estetiche
Prima
Dopo
Caso di Ortodonzia e Implantologia
Prima
Agenesia degli incisivi laterali superiori. Il trattamento ortodontico preliminare crea gli adeguati spazi per il successivo posizionamento degli impianti.
Dopo
Caso concluso. Visione frontale
Dopo
Caso concluso. Visione laterale.
Caso di Implantologia in 24h
Caso di Medicina Orale
Paziente di sesso maschile di anni 72 con diagnosi di LESIONE PAPILLOMATOSA di origine virale risolto chirurgicamente con un intervento in anestesia locale senza dolore e senza postumi. Durata 10 minuti
Prima
Dopo




